오늘 살펴 볼 것은 황반변성 증상에 대한 내용인데요 잘 알아두시면 도움 될 내용들이 많으니 자세히 살펴보시고 꼭 도움 받으셨으면 좋겠습니다.
황반변성
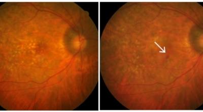
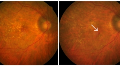
황반변성은 눈 조직 중 황반에 나타나는 변성으로, 시력 저하를 일으키는 퇴행성 질환이예요. 황반은 망막의 중심을 가리킵니다. 이 황반은 물체를 정확하게 볼 수 있게 하는 기능을 해요. 나이가 들면서 황반에 여러 변화가 발생되는데, 황반변성은 그 가장 널리 알려진 변화이예요. 황반변성이 온다고 하여 시야 전체가 깜깜해지면서 암흑 속에서 살게 되는 것은 아니에요. 다만 보고자 하는 부분이 어둡거나 왜곡되어 보이예요.






황반변성 증상
대표적 증상은 사물이 구부러져 관찰되는 증상이 있답니다. 초기에 안구의 신생혈관이 발생되거나, 그 혈관이 출혈을 일어킬 경우 발생되는 증상이예요. 출혈은 망막을 휘게 만들게 됩니다. 평평해야 하는 망막에 굴절이 생기면서 시력에 이상이 발생되는 것으로 보입니다. 중심 안 점 또는 황반변성의 주요 증상인데요 시력의 중앙부위가 안보이거나 까맣게 점이 관찰되는 증상이예요. 자가 진단 방법으로 눈을 한쪽씩 가리면 이 증상을 알아 챌 수 있습니다. 간단한 자가 진단 방법이지만 본인이 알아채기 가장 효과가 좋은 방법이예요. 이 때에 주의해야 할 점은 눈을 가릴 때 눈에 압력을 가하면 안 되어요. 주의하시길 바랄게요.
치료
황반변성 치료법은 건성과 습성으로 그 증상을 나누어서 살펴보아야 해요. 만에 하나라도 건성 황반변성을 겪고 있으면 특히나 치료법이라고 말할 수 있는 방법이 없다고 해요. 습성 황반변성이라고 할 경우 안구 내 주사, 광역학 요법, 레이저 시술 등을 사용할 수 있습니다. 원래에는 대개 실명에 이르는 질병으로 알려졌지만 최근 들어 시력개선까지 도모할 수 있는 기술력이 도입되었습니다. 하지만 아직도 건성과 습성 모두 예후가 좋다고 말할 수는 없으니 예방을 하는 것이 제일 좋은 황반변성 치료법이라고 할 수 있겠습니다. 시력 저하로 인하여 보통 안과를 찾게 되어요.






병원에서 전문의를 만나서 진단을 받게 되어요. 대부분이 현미경 검사로 40배 이상 눈을 확대해서 검사하던가, 동공확장 안약을 통하여 동공을 크게 확대시켜 속을 관찰하기도 해요. 가장 대표적이고 주요한 검사는 빛간섭단층촬영술이 있는데 이것은 육체에 무해하며 망막의 단층을 촬영할 수 있습니다. 유용하게 많이 활용되는 진단 방법이예요. 이미 시작된 황반변성을 치료하는 방법에는 약물, 레이저, 주사 치료가 있습니다.
이 치료방법들의 목적은 시력저하의 속도를 최대한 늦추는 것이 주 목표이예요. 최근에는 가장 효과가 있다고 알려지고 많이 활용되는 방법은 주사 치료 방법이예요. 안구에 다이렉트로 주사를 놓는 방식이예요. 보통 주사를 맞고 나면 3~4일까지 세수를 하실 수 없답니다. 주사 치료는 보통 4주~8주 간격으로 시행되며 주사 치료를 중단한다면 재발되기도 해요.
황반변성 종류
황반변성 종류 - 건성 황반변성
망막 부위에 노폐물들이 황반부에 누적되어가는 상태라고 해요. 그러므로 망막색소상피의 위축이 발생하며 같은 병변이 발생된 경우를 말한다고 해요. 이로 인하여 이는 아주 흔하며 여러 연령대에 나타나게 된다 모든 증상의 90% 이상이 건성 황반변성이라고 하네요. 이 때문에 심해지시면 병원에 방문하기를 추천드립니다.






황반변성 종류 - 습성 황반변성
황반변성 환자 중 약 10% 정도 차지하고 있다고 하네요. 그리고 망막 아래 부위에 맥락막 신생혈관이 자라게 되면서 생겨나게 되며 이런 신생혈관 같은 경우, 눈의 망막 부위인 황반부에 출혈을 발생시켜서 시력에 영향을 미치며 정도가 심한 경우 실명까지 발전할 수가 있다고 하네요. 이 때문에 진행속도가 무척 빨라서 빠르게 자가진단을 한 후에 병원에 바로 내원하여 치료법으로 치료를 받기를 추천드립니다.
질병의 원인
황반변성의 이유가 되는 것이 정확하게 무엇이다! 한 개로 정의내리기는 힘이 들게 됩니다. 다만 가장 일반적으로 노화와, 유전이 있습니다. 그밖에 흡연, 고 콜레스테롤 혈증, 자외선 노출 등이 있습니다.






질병의 원인 - 유전적 이유
이미 유전자에 이상으로 발생하는 것은 방지할 방법이 없답니다. 그리고 치료방법도 정확하게 존재하지 않습니다. 노화와 다르게 유전적인 이유는 10대 때 빠르게 시작되기도 해요.
질병의 원인 - 생활 습관
생활습관에서 하지 말아야 할 것, 해야 할 것 양쪽 모두로 나눌 수 있습니다. 흡연과 과한 자외선 노출, 비만 등은 하지 말아야 해요. 녹색 잎채소를 섭취하며, 견과류, 생선 등을 많이 복용하는 것이 해야 할 생활 습관이예요. 올리브유도 좋답니다. 황반변성은 현재 다양한 치료 방법으로 현재의 시력을 유지하면서 기능을 유지하기 위해 좋은 기술들이 있답니다. 하지만 가장 주요한 것은 빠른 시일에 황반변성을 알아채야 그게 가능해요. 무심코 내 눈의 상태를 대수롭지 않게 생각할 경우 그것은 눈의 건강에 좋지 않습니다. 좋은 안구를 위해서 자가 검진을 하시고 병원을 내원하는 것을 추천드립니다.






질병의 원인 - 노화
환반변성을 여러가지으로 나뉠 수 있는데, 보통은 말하는 황반변성은 망막의 노화로 발생하는 것으로 보입니다. 즉 노인성 황반변성, 노년 황반변성이라고 일컫는 이유이예요. 여기서 노인은 50세 이상을 말해요.
황반변성에 좋은 음식
황반변성에 좋은 식품으로는 케일, 배추, 브로콜리, 시금치 등 야채가 있다고 하며, 블루베리, 토마토, 오렌지, 포도 등 과일이 도움 됩니다. 생선, 들기름, 올리브유 등 오메가3가 많이 들어 있는 음식도 황반변성에 좋은 음식이며, 눈에 좋은 영양제를 섭취하시는 것도 황반변성 미리 막는데 도움이 돼요.
우리가 눈에 좋다고 알려져서 대다수가 섭취하고 있는 눈 영양제인 루테인과 가지가지 비타민 영양제도 황반변성을 약 20% 이상 제한하는데 도움이 된다는 연구결과가 있습니다. 다양한 영양소를 식품으로 모두에게 섭취하기 어려우신 분께서는 영양제라도 필수로 챙겨서 드시기 바랄게요.
우리가 생각해 볼 점이 많은 황반변성 증상에 대하여 알아보았습니다. 잘 알아두시고 참고하셨으면 좋겠습니다. 감사합니다.
시금치 파종시기 계절별 차이, 파종방법
오늘 이야기 해 볼 것은 시금치 파종시기에 대한 것인데요, 시금치 재배에 관심이 있으시다면 꼭 알아두시기 바랍니다. 시금치 명아주과에 속하는 한해살이풀. 아시아 서남부지역이 원산입니다
yogik.issuehothot.com
방글이 PD 프로필, 실명, 연출 프로그램
안녕하세요, 오늘은 새 예능으로 찾아온 방글이 PD 프로필에 대해 알아보겠습니다. 최근 차승원과 함께 형따라 마야로 라는 프로그램을 런칭했습니다. 저는 당연히 방글이라는 것이 애칭인줄 알
yogik.issuehothot.com