오늘 이야기 해 볼 것은 구내염 원인에 대한 것인데요, 요즘 구내염 원인에 대한 인기가 높습니다. 아래에서 자세한 내용 살펴보도록 하겠습니다.
구내염이란
구강에 나타나는 통증을 동반하는 염증성 질환을 통틀어 구내염이라 해요. 그러나 구강의 점막에 나타나는 질환들은 다양하면서도 병변의 모양이 서로 비슷해서 감별진단에 어려움이 있기 때문에 세심한 병력청취와 관찰이 필요해요.
구내염은 증상별, 발생 부위별, 이유가 되는 것별, 이학적 검사 소견에 따른 여러가지 분류법들이 있으나 각 질환에 대하여 일률적으로 적용하기는 곤란해요. 그러므로 대부분 이들의 여러 분류법들을 혼합해서 분류하는 경우가 많으며, 보통은 구내염은 궤양성 구내염, 수포성 구내염, 미란성 구내염으로 나뉩니다.






구내염 원인
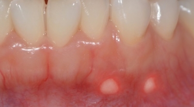
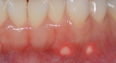
구내염 원인 - 아프타성 구내염
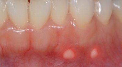
입안 점막이 동그랗게 패여 통증을 유발한다면, 아프타성 구내염을 의심할 수 있어요. 음식을 먹을 때마다 아픈 작은 궤양이 생겼다면, 아프타성 구내염을 의심할 수 있어요. 아프타성 구내염은 빨간색 둘레를 가진 둥근 형태의 흰색 궤양이, 얕은 깊이로 한 개 및 여러 개 생기며 통증을 동반하는 것이 특징입니다. 전 인구의 20~40%가 발병할만큼 통상적으로 나타나는 질환으로 20대, 주로 여성분들에게 많이 나타나며, 일주일 정도면 자연적으로 치유되지만 1~3개월 간격으로 빈번히 재발하는 것이 특징입니다.
까닭은 입 속 점막의 작은 상처나, 바이러스, 세균의 감염, 각별히 수면 부족이나 과로, 스트레스가 축적돼 면역력이 떨어졌을 때와, 비타민 B12 또는 엽산 결핍 시에 많이 생기 다고 알려져 있어요. 흔한 질환이니만큼 자연적으로 치유 되지만, 통증을 동반하고, 궤양의 크기가 커지거나 숫자가 늘어나기도 하기 때문에 연고나 외용제, 가글액 등을 활용해서 증상을 경감시키는 치료를 하기도 해요.






구내염 원인 - 바이러스성 구내염
바이러스로 인해 나타나는 구내염도 있습니다. 단순 헤르페스 바이러스의 감염 원인의 '헤르페스성 구내염'은 주로 타액 과 같은 접촉으로 인하여 감염됩니다. 또 곰팡이의 일종인 칸디다균은 원래 입안에 존재하는 상재균의 한 개지만, 만약 면역력이 저하되면 증식해서 '칸디다성 구내염'을 병이 발생하게 되어요. 바이러스성 구내염에 많이 관찰되는 다발성 구내염은 입 점막에 많은 소수포가 형성되어 찢어져 붕괴를 나타나게 할 수이 있고 발열이나 엄청난 통증이 수반될 수 있습니다.
구내염 원인 - 면역력 저하
보통은 구내염은 입 안 상처에 침투한 세균이나 바이러스를 우리의 신체의 면역력이 극복하지 못했을 때 나타난다고 정리해 볼 수 있답니다. 결과적으로 구내염을 치료하려면 구내염이 발생되는 단계인 “입안의 상처 -> 세균 감염 -> 약한 면역력” 이라고 부르는 연결 고리 중 한 종류만이라도 끊을 수 있다면 되는 것으로 보입니다.
이 중 각별히 면역력이 구내염 예방의 중요시되는 부분이라고 할 수 있으며, 이를 방증하는 예로 한국에서 구내염 환자는 면역력이 약해 지는 시기인 환절기에 수시로 발생한다고 알려져 있답니다.. 또한 스트레스 역시 면역력을 감소하게 만드는 요인으로 작용해요. 만에 하나라도 몸이 너무 피로하던가 정신적인 스트레스를 받고 있으면 잠시 숙면을 취하고 휴식을 가지는 것이 구내염 치료에 좋습니다.






구내염 원인 - 구강 칸디다증
입안에 우유 순수하지 않은 물질 같은 흰 막이 생기고 통증이 있으면, 구강 칸디다증을 의심할 수 있어요. 구강 칸디다증은 '아구창'이라고 부르기도 하고, 입안에 우유 이물질 같은 흰 막이 생기면서 음식을 삼킬 때 통증을 동반해요.구강 칸디다증을 일으키는 칸디다는 사람의 입, 소화기관, 질, 피부에 정상적으로 살고 있는 진균인데, 면역기능이 정상인 사람에게는 아무런 이상을 유발하지 않아요.
그러나, 면역기능이 줄어들게 되면 칸디다증을 나타나게 할 수 있답니다. 각별히 당뇨병, 결핵, 혈액질환, 면역질환, 악성종양을 지니고 있거나, 노약자, 어린 아이, 임산부 등 체력이나 면역력이 떨어져 있는 사람들, 틀니를 활용하던가, 구강 건조증이 있는 사람, 항생제를 장기 섭취하는 사람에게 생기기 쉬워요.
구내염 원인 - 우유
구내염 원인에 대한 다양한 연구 중에는 우유가 구내염의 이유가 되는 것일 수도 있다는 연구 결과가 있습니다. 해당 논문에 의하면우유가 인체의 면역 체계와 충돌을 일으켜 구내염이 일어날 수 있다는 것으로 보입니다. 이 연구에서는 특정 집단을 모아 놓고 우유를 마시는 경우와 마시지 않는 경우의 구내염 발생 빈도를 측정했는데 이 때 우유를 마시지 않은 집단이 구내염에 덜 걸린다는 연구 결과가 나왔습니다.
그러므로 혹여 우유를 매일같이 마시는 사람 중 구내염이 빈번히 발생되는 경우, 한 두 달 정도 우유를 끊어보는 것이 괜찮은 치료 방법이 될 수도 있답니다. 우유가 정확한 구내염 원인이라고 말할 수는 없겠지만, 특정 이들에게는 효과가 있을 수도 있겠다는 생각이 듭니다. 실제로 구내염이 생겼을 때 우유를 마시면 구내염이 더 악화되고 증상도 심해진다고 해요.






구내염 원인 - 편평태선 구내염
피부에 발생되는 편평 태선등의 것으로 자가면역질환의 한 가지로 알려져 있습니다. 주로 유전적인 까닭 및 면역 반응의 이상으로 나타나는 구내염으로 거미줄처럼 실선이 얽기 설기는 형태로 구내염이 발생해요. 발생 까닭이 명확하지 않아 치료가 어려우나 스테로이드 연고제를 통해 증상을 완화할 수 있습니다. 이런 형태의 구내염이 긴 시간 지속될 경우 구강암으로 발전할 수 있기 때문에 반드시 병원에서 진료를 받아봐야 해요.
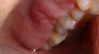
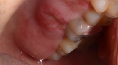
구내염 원인 - 카타르성 구내염
카타르성 구내염 원인은 대부분 틀니 혹은 교정기에 접촉해서 상처가 나거나, 뺨의 안쪽을 이로 씹었을 때 나타나는 세균의 번식 과 같은 까닭으로 일어나게됩니다. 입의 점막이 붉게 붓거나 물집이 생기기도 해요. 아프터성 구내염과 달리 경계가 불명료하고 타액의 양이 높아져 구취가 발생하던가 입안이 뜨거워질 수 있죠. 그리고 미각이 둔해지는 경우도 있습니다.
구내염의 좋은 음식
바나나, 계란, 감자, 양배추 등 비타민B1, 2, 6을 함유하고 있는 음식을 섭취하면 좋습니다. 구내염은 피곤할 때 생기기 쉽기 때문에 피로회복에 도움이 되는 비타민을 먹음으로써 구내염을 방지할 수 있다고 하며 피부 점막의 건강 상태를 유지할 수 있습니다. 비타민C가 들어간 음식을 섭취하여주면 좋답니다.
비타민C는 면역력을 높여주고 구내염을 이완시켜주는 효과가 있기 때문에 레모나C, 비타민C 알약, 케일, 파슬리 등 복용하면 빠르게 회복하는데 도움을 줘요. 물을 수시로 마셔주는 것으로 보입니다. 건조한 입 안은 세균이 죽지 않아 구내염이 생기기 쉬워집니다. 물을 수시로 마셔줌으로 인해 침이 마르지 않게 해주면서 구내염 초기에 도움이 많이 됩니다. 그 밖에치즈, 복숭아, 사과 등 다양한 음식들이 있으나 음식을 섭취하기 힘드시다면 종합비타민으로 부족한 비타민을 채우시고 효과를 보시는 것이 좋을겁니다.



구내염 증상
구내염 증상으로는 보통은 구강 내 점막의 발적, 종창, 작열감, 구취, 수포, 궤양 등을 동반하게 되어요. 증상이 심한 경우 발열과 함께 합병증이 발생하기도 해요. 궤양성 구내염의 경우, 병변 주변이 괴사하면서 탈락되어 조직의 표면이 결손되거나 함몰되는 증상이 나타나게됩니다.
구내염 치료
보통은은 증상이 심하지 않아서 알보칠이나 오라메디와 같은 구내염 치료제를 구매해서 치료해요. 하지만 통증이 심하던가 오랜 기간 증상이 유지된다면 병원을 방문해서 진료받는 편이 좋아요. 입안에 자극을 줄 수 있는 음식은 상처를 자극해서 증상을 악화시킬 수 있기 때문에 피하는 것이 좋을겁니다. 수분 섭취가 중요하지만 뜨거운 물은 자극을 줌으로써 미지근한 물을 마시는 편이 좋아요.
그리고, 양치질을 제때 해서 구강 내 위생을 청결하게 유지하면 세균 번식을 막아주어 회복에 도움이 된다고 해요. 다만, 구강 세정제를 활용할 경우 오히려 환부를 자극하므로 될 수 있도록 꼼꼼한 양치질로 관리하는 편이 좋아요.
구내염 원인에 대해 전해드렸습니다. 잘 참고하셔서 생활 속에서 도움 받으시기를 소망합니다. 즐거운 하루 되세요.
레몬물 효능 비타민c 덩어리
오늘의 효능 시리즈 주제는 레몬물 효능에 대한 것인데요, 레몬물 효능에 대한 인기가 젊은 분들 사이에 높습니다. 아래에서 자세한 내용 살펴보도록 하겠습니다. 레몬이란? 쥐손이풀목 운향과
yogik.issuehothot.com
땅콩 효능 하루견과류 으뜸
견과류는 몸에 좋다는것은 누구나 아는 사실이겠죠? 오늘 그중에 땅콩 효능에 대한 것인데요, 건강을 중요시 하다보니 요즘 인기가 높습니다. 아래에서 자세한 내용 살펴보도록 하겠습니다. 땅
yogik.issuehothot.com