사실 방광암은 주변에서 흔하게 듣는 암 종류는 아닌데요, 방광에도 암이 일어날 수 있다는 사실이 놀랍네요. 방광암은 방광내에 소변이 닿는 점막에 나타나는 암으로 초기에는 증상이나 통증이 눈에 띄게 나타나지는 않지만 초기 몇 가지 증상들로 의심하고 조기에 관찰되는 경우가 많다고 합니다. 오늘은 방광암 초기증상에 관하여 알려드리겠습니다.



방광
방광은 몸으로 섭취된 물이 신장을 통해 소변으로 배출되기 전에 저장되는 곳을 말합니다. 소변은 온몸을 돌고 온 혈액이 신장에서 걸러져 나온 부산물로서 성인의 1.5~2L가량 만들어진다고 합니다. 이렇게 생성된 소변은 요관을 통해 방광으로 이동하게 되고 소변이 어느 정도 차게 되면 대뇌로부터 배뇨 신호를 받아 방광의 출구가 열리면서 소변으로 배출하는 배뇨 활동을 합니다. 방광에 문제가 생기면 배뇨 활동에 영향을 주어 소변이 새거나 안 나오는 증상부터 혈뇨 등에 문제가 발생합니다.
방광암이란
방광암은 여성보다 남성에게 발생할 확률이 상대적으로 높은 대표적 3대 비뇨기암으로 유명하고, 비뇨기계 암 중 발병률이 높아 남성암 중에선 7위라는 타이틀을 차지하고 있어요. 2017년 기준으로 보면 국내에서는 약 4400명이 방광암으로 진단받았으며 그중에서도 약 80프로가 고령 환자였다고 합니다.
정확한 비율로 따지자면 방관한 환자의 약 85프로 이상이 50대 이상의 연령에서 발견되었어요. 젊은 층보다는 연령대가 높은 중장년층에서 노인층까지 발병 확률이 높은 암이지요.
방광암의 원인
1. 방광암의 원인 - 화학물질
주변에 화학물질, 암 유발 물질이 함유된 장소에 노출되어 있는 사람들이 방광암에 걸릴 확률이 높아요. 이러한 독성 성분이 몸을 통해 흡수가 되면 방광을 통해 소변으로 빠져나가면서 방광 내의 상피세포의 변이를 일으켜요.



2. 방광암의 원인 - 흡연
흡연은 방광암뿐만 아니라 다른 암을 발생시키는 위험 요인 중 한가지로서 담배 안에 있는 밴지닌이라 하는 성분이 방광암을 일으키는 요소이지요. 보통은 흡연을 하는 사람이 하지 않는 사람보다 방광암에 걸릴 확률이 2~4배 높아요. 실제 환자의 비율로 보았을 때 남자의 경우 55% 이상, 여성의 경우 25% 이상이 흡연자로 통계되었어요. 금연을 하게 되었을 때는 1~4년 이내에 발병률이 40% 정도 떨어지고 25년이 지나면 60% 정도 감소합니다.
3. 방광암의 원인 - 기타
갖가지 염색약, 커피, 진통제, 방사선, 항암제 등이 방광암의 원인이 될 수 있어요.
방광암 초기증상
1. 방광암 초기증상 - 하복부 또는 옆구리 통증
방광암에 의해 요관 폐색이 발생할 수 있으며 상피세포에서 발생된 방광암이 방광 전체에 퍼지게 되면 수신증이 생기면서 옆구리 또는 하복부 통증이 발생합니다.



2. 방광암 초기증상 - 부종
통증이나 요관폐색으로 인해 배뇨가 잘 되지 않을 경우 방광암 초기증상으로 부종이 나타날 수 있어요. 하지에 부종이 생기거나, 암이 어느정도 진행된 경우 골반 주변에서 덩어리가 만져지기도 합니다.
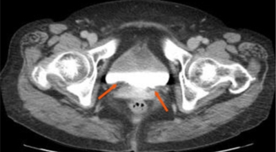
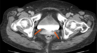
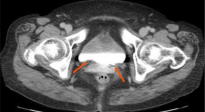
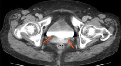
3. 방광암 초기증상 - 혈뇨
혈뇨는 소변을 눈으로 확인했을 때 빨갛게 관찰되는 것을 육안적 혈뇨라고 하고 눈으로 보기에는 깨끗하지만 소변검사를 했을 때 혈뇨관 소견으로 관찰되는 현미경적 혈뇨로 구분돼요. 2가지 혈뇨 현상 모두 방광암의 증상으로 볼 수 있으며 이러한 증상이 발생하게 되면 병원의 정밀 검진이 필요합니다. 소변의 색은 붉은색으로 보이기도 하고 녹색으로 보이기도 합니다.



4. 방광암 초기증상 - 배뇨장애 또는 배뇨통
방광암이 생기면 방광의 역할을 제대로 수행하지 못하며 소변을 빈번하게 보는 빈뇨증상이나 갑자기 배뇨를 하는 급 방뇨 현상이 발생합니다. 또 배뇨시 통증이 일어날 수 있어요.
5. 방광암 초기증상 - 식욕감퇴
마지막 방광암 초기증상은 식욕감퇴이지요. 통증이나 무기력함, 피로감 등으로 인해 자연스럽게 식욕이 감소하고 체중의 변화를 느끼기도 합니다.
방광암 치료법
방광암 치료법은 경요도 절제술을 하게 되는데요. 이 후 종양의 개수나 크기, 재발 기간 등에 그렇기 때문에 항암제를 주입하는 등 여러가지 치료를 하게 되는데요. 상황에 그렇기 때문에는 방광 적출술이 필요할 수 있고, 재발이 잦기 때문에 방광암 치료법을 시행하면서도 주기적인 추적 검사를 해야 합니다.



방광암 생존율
방광암 생존율은 다른 암에 비해 완치율이 높은 편이예요. 초기에 발견해서 치료를 한다면 방광암 생존율은 약 77% 이상이라고 합니다. 이미 전이가 된 경우, 당연히 방광암 생존률이 낮아질 수 밖에 없어요. 다만 방광암 1기, 2기여도 치료 후 재발이 잘 되는 암이라서 치료와 함께 원인을 제거하고 생활습관을 고치는 것이 필요합니다.
방광암 예방법
방광암에 걸리는 환자를 확인해보면 흡연을 하는 50~70 세분들의 비중이 높다고 합니다. 흡연은 방광암뿐만 아니라 다른 암에서도 위험인자로 거론되니 꼭 금연을 하셔야 해요. 그리고 유해물질에 노출되기 쉬운 환경이나 직업을 갖고 있으면 전용 장비등을 잘 갖추어 최대한 노출을 줄이는 것이 중요합니다.



방광암 초기증상과 방광암 생존율에 관하여 알아봤어요. 다른 암과는 다르게 유해물질로 인한 요인이 암 발생 원인으로 크게 작용한다는 점이 특이한데요, 이런 환경과 직업을 가지신 분이라면 조금 더 방광 건강에 신경쓰셔야 합니다.
비트 효능 & 비트 먹는 방법
붉은색의 매혹적인 색상을 띠고 있어 '서양 붉은 순무'라고도 불리는 비트는 식감이 아삭하고 영양소가 매우 많은 채소이지요. 색이 고운 비트는 샐러드나 즙으로 많이 섭취하지만 피클이나 절
yogik.issuehothot.com
팬덤의 뜻 & 우리나라 시초는?
연예계에서만 쓰이던 말이었으나 이제는 정치에서도 빠질 수 없는 말이 되었어요. 바로 팬덤입니다. 현재의 팬덤은 단순히 연예인을 좋아하는 팬클럽같은 의미에서 더 확장된 뜻을 갖고 있는데
yogik.issuehothot.com
구기자 효능 10가지 & 구기자차 끓이는법
구기자는 불로장생의 명약으로 여겨지는 약용식물이지요. 구기자 열매는 한약의 약재로도 사용되기도 하는데, 오늘은 구기자 효능과 부작용, 그리고 구기자차 끓이는법을 알려드리도록 하겠습
yogik.issuehothot.com