오늘 살펴 볼 것은 폐암 초기증상에 대한 내용인데요 잘 알아두시면 도움 될 내용들이 많으니 자세히 살펴보시고 꼭 도움 받으셨으면 좋겠습니다.
폐암에 관해서
폐에 발생된 악성 종양을 말하며 오랜 기간 흡연해온 남성들에서 발병률이 높고 요즘 들어 가지가지 환경적인 요인의 영향과 간접흡연으로 흡연하지 않는 여성에서도 많이 발생하고 있답니다. 증상을 느껴 병원을 찾았을 때는 수술하기 늦은 경우가 많아 사망 확률이 매우 높은 암입니다. 폐 자체에서 생기거나 다른 장기에서 발생된 암이 폐로 전이되어 나타나기도 하고 특별한 초기 증상이 없는 경우가 많으며 암이 진행된 후에도 일반적인 감기 증상인 기침과 가래 외의 특이 증상이 나타나지않아 증상만으로는 진단이 쉽지 않아요.
폐암 역시 다른 암들과 마찬가지로 조기 발견 및 치료가 매우 중요하므로 일상 속에서 폐암 초기증상을 간과하지 않도록 주의를 기울여야 해요. 따라서 긴 시간의 흡연, 간접흡연에 노출됐거나 평상시 폐 기능이 좋지 않고 호흡기 질환에 잘 걸리는 예민한 편이라면 폐암 초기증상에 관해 잘 알아뒀다가 이상이 있다고 생각되면 최대한 빨리 전문의를 찾아 정확한 검진을 받아보는 것이 좋아요.






폐암 원인
폐암의 공통 위험요소로 손꼽히는 이유가 되는 것으로 흡연이 있답니다. 흡연자는 비흡연자에 견주어 십몇 배는 더 폐암 발병확률이 높다고 하며 어느정도 기간 동안 흡연했는지에 따라 폐암 발생확률은 더더욱 더 높아져요. 흡연자라고 해도 금연을 하게 되면 폐암 발병확률이 가파르게 감소한다고 하니 폐암이 걱정되신다면 가장 먼저 금연은 필수입니다.
간접흡연 외에도 공사장과 같은 곳에서 미세먼지나 석면, 비소, 라돈, 카드뮴 등 신체에 옳지 않은 성분에 노출되는 환경적 요인으로 폐암이 발병할 수 있다고 하며 유전적 요인으로도 폐암이 발병할 수 있다고 해요. 가족 중 폐암을 앓았던 분들이 있다면 그렇지 않은 분들에 비교해 2배 가량 더 폐암에 걸릴 확률이 높다고 하는데요 이렇듯 폐암은 나도 모르는 새에 발병할 수 있으므로 자신의 신체 상태를 수시로 체크하여 폐암을 초기에 발견하는 것이 현명해요.
폐암 초기증상
폐암 초기증상 - 만성피로
폐암 초기증상으로 피로가 풀리지 않아 만성피로를 느끼게 됩니다. 보통 간이 건강하지 않으면 피로회복이 되지 않는다고 생각하는데 폐에 발생된 암세포가 주변에까지 전이되며 다른 장기들의 기능을 제한하기 때문일 수도 있답니다. 그러므로 단순 피로라고 생각하고 영양제만 먹지마시고 꼭 병원에 가보는 것이 좋을듯 합니다.
폐암 초기증상 - 목소리 변화
대개 성대도 노화가 되며 목소리가 쉬기도 하지만 폐암 초기증상으로 목소리가 변하는 것은 마른 쉰 목소리로 듣는 사람들이 듣기가 힘든 소리예요. 성대를 조절하는 곳이 기관지와 폐 사이에 있는데 이곳에 암세포가 발생해서 목소리가 변하므로 마른 쉰 목소리가 난다면 병원에 가봐야겠습니다.






폐암 초기증상 - 흉통
폐암의 초기증상 중에는 흉통이 있어요. 위치에 따라 요통으로도 진행이 되기도 하는데요 흉통이 발생하는 경우는 폐의 가장자리에 폐암이 발생할 때 나타나게됩니다. 흉막에 암이 인접해 위치하게 되면 바늘로 콕콕 찌르는 듯한 흉통을 느끼게 되며 폐암이 갈비뼈나 다른 부위로도 전이될 경우에도 흉통이 발생하고 요통으로도 발전 할 수 있어요.
폐암 초기증상 - 호흡 곤란
폐암 환자의 1/4에서 나타나는 일반적인 증상으로 호흡곤란이 일어나는 이유는 다발성 폐전이가 폐 양쪽에서 발견되는 경우 일어날 수 있다고 하며 폐암과 또한 악성 흉수가 동반되는 경우 발생해요. 평상시와 다르게 숨이 차는 느낌이 들면서 숨을 들이쉬고 내쉴때 쌕쌕 거리는 소리나 나온다면 폐암 초기증상을 의심해 볼 수 있답니다.
폐암 초기증상 - 혈담
두번째 폐암 초기증상으로 혈담이 있는데 혈담은 쉽게 말해 가래에 피가 섞여나오는 경우입니다. 폐암이 폐 중앙부 기관지 부분과 근접해 있으면 나타나게 되는 혈담은 폐암환자의 25%이상이 경험하는 증상이므로 만에 하나라도 기침을 할 때 심한가래나 혈담이 섞여 나온다면 즉시 병원에 방문하시기 바래요.






폐암 초기증상 - 기침
기침은 가장 통상적으로 나타나는 폐암 초기증상입니다. 기침은 감기나 기관지염, 천식 등 다른 호흡기 질환에서도 예사로 나타나는 증상이라 대수롭지 않게 여기고 넘어가는 경우가 많은데요 계속해서 기침 증상이 있다면 폐암 검사를 받아보는 것이 좋을겁니다.
가벼운 감기부터 폐암까지 기침의 이유가 되는 것은 다양할 수 있어요. 3주 이내에 사라지는 급성 기침은 주로 바이러스 감염에 의한 일시적인 증상이지만 기침이 오래 유지되면 갑상샘암, 후두암, 폐암이 진행된 상태일 수 있어요. 3주 이상 기침이 멎지 않는다면 정확한 이유가 되는 것을 파악해 치료하시는게 좋겠네요.
폐암 4기 생존율
폐암은 3기 이상인 말기에 발견되는 경우가 일반적으로라 예전에는 폐암 판정을 받으면 곧 사망이라고 부르는 말까지 있어요. 하지만 현재는 의료기술이 발달하여 폐암 5년 생존율은 70%가 넘고 있어요. 무엇보다 주기적인 건강검진으로 인해서 폐암을 조기에 발견한 경우가 많아서라고 볼 수 있답니다. 세세히 살펴보면 인산화효소 변이 폐암 환자의 경우 5년, 상피세포 성장인자 수용체 변이 폐암 환자의 경우 1년~3년의 생존율을 보인다고 해요. 하지만 요즘도 폐암을 3~4기에서 확진 받는 경우가 많아요.
폐암 초기증상 - 체중감소
폐암을 의심할 수 있는 폐암 초기 증상은 다른 암과 마찬가지로 입맛이 떨어지고 전신 위약감이 발생하는 증상입니다. 체중이 갑작스럽게 감소할수도 있어요. 따라서 최근에 식사량을 줄인다던가 식단 관리를 하지 않았는데도 평상시 체중의 5% 이상의 체중 감소가 있다면 검진을 해보는 것이 좋아요.
정상세포보다 성장 속도가 빠른 암세포는 많은 에 너지를 필요로 하기 때문에 암세포의 성장에 따라 체중감소가 나타날 수 있어요. 특별한 이유가 되는 것 없이 6개월 내에 10kg 이상 체중이 줄거나 체중의 10% 이상이 감소했다면 폐암 초기증상이라고 볼 수 있어요.






폐암 초기증상 - 상대정맥 증후군
상대정맥증후군 이란 상대정맥 주위에 폐암이 생겨서 상대정맥을 압박할 때 발생되는 증상을 말합니다. 혈액순환 장애가 생겨서 머리와 팔이 심하게 붓게 되고, 호흡곤란, 가슴 정맥 돌출 과 같은 증상이 생기게 될 수 있답니다.
폐암에 좋은 음식
폐암에 좋은 식품 - 무
무는 흡연으로 인해서 발생된 유독물질을 체외로 배출해주는 효과가 있어 폐와 폐암에 좋은 음식입니다.
폐암에 좋은 식품 - 당근
당근에 함유되어있는 많이 들어있는 베타카로틴 물질이 점막을 보호해주고 비타민이 많이 들어있어서 항산화 작용 효과를 얻을 수 있기 때문이예요. 당근은 클로로겐산이라는 식물성 화학물질의 공급원인데요, 이 클로로겐산은 종양이 자라기 위해 필요한 혈액 공급을 막는 역할을 하기 때문에 폐암 진행을 억제하는 효과를 볼 수 있어요.
폐암에 좋은 식품 - 녹차
녹차가 폐 건강에 좋은 차로 손꼽히는데요 녹차에는 카테킨이라는 폴리페놀에 소속되는 물질이 들어있어 항산화 작용과 함께 몸 안 니코틴 해독작용을 해요. 흡연으로 인해서 몸 속에 쌓이게 된 담배의 독성을 몸 밖으로 배출해주는 녹차는 흡연을 한 이력이 있는 사람들에게는 강력히 추천되는 차입니다. 폐 건강을 생각하신다면 커피 보다는 녹차를 드시는게 좋아요.
폐암에 좋은 식품 - 해조류
해조류 중에서도 김과 파래를 들 수 있는데요, 김과 파래에는 메틸메티오닌과 비타민A가 풍부하여 담배의 니코틴 독을 해소해주며 그로 인해 훼손된 폐의 점막을 보호하고 훼손된 점막을 회복시켜주어 폐암을 방지하는데 효과적이라고 해요. 폐암 치료 중인 분이라면 김과 파래를 드실 때는 함께 말려서 가루를 내어 밥 위에 뿌려서 복용하면 더더욱 더 효과적으로 수시로 복용할 수 있으니 참고하시기 바랍니다.






폐암에 좋은 식품 - 생강
생강은 니코틴 해독 효과가 있고, 기관지에 쌓여있는 가래를 제거해 주는 효과와 폐 세포의 재생을 원활하게 해줘주는 폐와 폐암에 좋은 음식입니다. 또 생각에 포함된 쇼가올이라고 부르는 물질은 의 확산을 막는 효과가 있다고 하며 쥐를 통한 실험에서 폐암 전이 위험 감소 효과가 나타났다고 해요.
폐암에 좋은 식품 - 토마토
토마토는 우리의 육체의 여러가지 기관에 좋은 역할을 담당하는데요, 폐암에도 좋답니다. 토마토의 붉은색을 나타내는 라이코펜 물질은 항암작용 효과적이고, 갖가지 대기오염으로부터 폐를 보호해주는 폐 기능 향상에 도움을 주는 폐와 폐암에 좋은 음식입니다. 토마토에는 암 위험을 낮추어주고 암에 대응하는 엄청난 화합물인 리코펜이 많이 들어있는데요 종양의 성장을 억제시키고 폐암 세포가 분열하는 것을 방해하는 역할을 한다고 해요. 리코펜이 많이 들어간 식품을 먹은 이들에게 실험한 결과 폐암 발병률이 낮았다고 해요.
폐암에 좋은 식품 - 마늘
마늘은 우리 민족 역사와 함께 해온 식재료로 단군신화에도 나올 정도로 역사가 오래된 식품입니다. 그만큼 마늘 효험은 우리의 신체에 여러 좋은 역할을 해요. 마늘 섭취를 통해 폐로 통하는 혈액의 흐름을 좋게 해주고 폐에 좋은 기운을 보급 해요. 폐암을 억제는 물론이고 성인병과 항암작용에 특효가 있는 식재료로 유명해요.






폐암에 좋은 식품 - 브로콜리
브로콜리에는 클로로필이라 하는 녹색색소 물질이 포함된데요 이 물질은 동맥경화를 막아주고 혈전 생성을 막아주고 혈액순환을 도와 항암작용 효과를 발휘합니다. 이 모든 작용들이 한데 모여 폐 건강에 긍정적인 효과를 미치는 것입니다.
폐암에 좋은 식품 - 율무
율무는 폐 기능을 활성화 시켜주고, 흡연으로 인해서 발생하는 가래를 멈추게 해 주며 니코틴 해독 효과가 있는 폐와 폐암에 좋은 음식입니다.
폐암에 좋은 식품 - 복숭아
복숭아는 몸 내부에 있는 니코틴을 분해하고 훼손된 폐조직을 소생시켜주어 폐와 폐암에 좋은 음식입니다.
폐암 치료방법
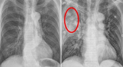
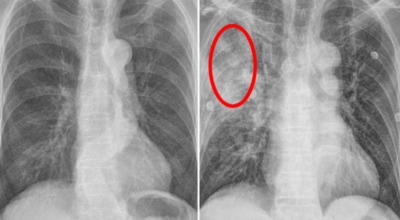
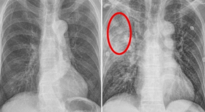
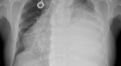
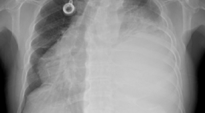
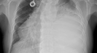
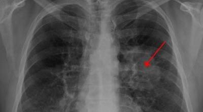
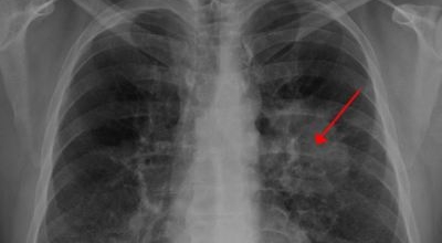
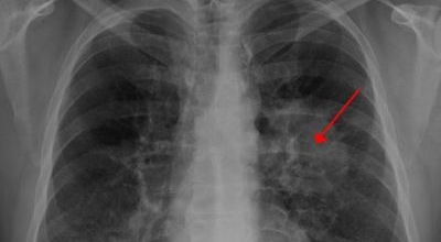
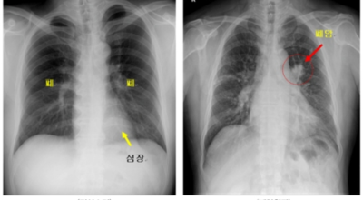
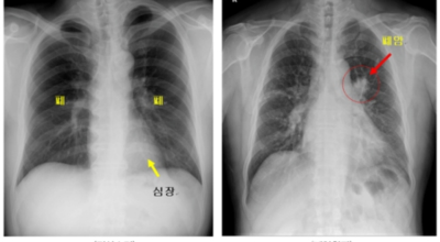
폐암 검사는 X-ray를 통해서 검사하는데 , 크기가 작거나 구석에 위치한 경우 확인이 어려운 경우도 있습니다. 그리고 조직 검사를 통해서 정확한 진단을 하게 돼요. 폐암이 발견되면 종양의 크기나 전이 여부 , 위치에 따라서 수술 여부를 결정하게 돼요.
수술 치료
악성 종양이 있는 폐의 일부를 절제하는 방법입니다. 초기에는 내시경 기구를 활용하여 수술이 가능하기도 해요.
항암 치료
항암제를 이용한 치료 방법입니다. 폐암 4기 같은 경우에는 항암 화학요법이 유일한 치료방법이기도 해요. 폐암에 대하여 알아봤는데요.
폐암 초기증상에 대해 전해드렸습니다. 잘 참고하셔서 생활 속에서 도움 받으시기를 소망합니다. 즐거운 하루 되세요.
은행 영업시간 은행별 총정리, 지점찾기
요즘 은행에 방문할 일이 드물다보니 가끔 방문시에 시간이 헷갈립니다. 또 코로나때 시간이 바뀌면서 긴가민가 하시는 분들이 많을텐데요 아래에서는 은행 영업시간에 대해 자세히 살펴보려
yogik.issuehothot.com